|
<<< Вернуться
На станции «Восток» продолжается исследование зрительной системы и изучение влияния профилактического приема витамина Д3 на устойчивости зрительных функций.
Впервые мониторинг состояния сосудистого тонуса ЦНС по картине глазного дна проводится с помощью телемедицины –трансляции цифровой фундусскопии.
Цифровая фундусскопия проводится с использованием ручной цифровой фундус камеры Smartscope-m5 , производства фирмы Optomed, предоставленной партнером ИМБП РАН фирмой Vartamana International Traders.
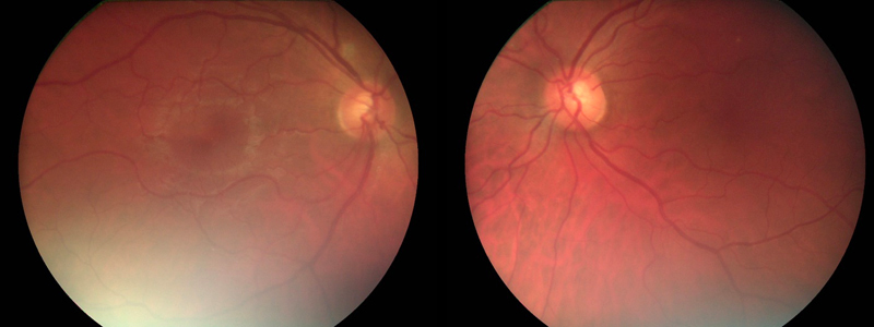
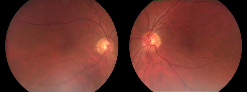
Оценка динамики состояния структур глазного дна - диска зрительного нерва, сосудов сетчатки и зрительного нерва человека при длительном нахождении в условиях гипобарической гипоксии, гипокинезии и изоляции позволит оценить уровень устойчивости регуляторных механизмов ЦНС.

Проведение фундусскопии.

Испытатель 6. фундусскопия от 12 февраля.

Испытатель 6. фундусскопия от 15 апреля.
<<< Вернуться
|